Periodontics: The Essential Dental Specialty
Periodontics is a specialized field of dentistry that focuses on the prevention, diagnosis and treatment of periodontal disease, as well as the placement and maintenance of dental implants. This discipline is crucial for maintaining optimal oral health as it addresses the structures that support the teeth, including the gums and bone.
The Role of a Periodontist
A periodontist is a dentist who has received additional training to specialize in periodontics. They are experts in managing periodontal disease, which can range from mild gingivitis to more severe periodontitis. Periodontists also perform various surgical procedures such as gum grafts and bone regeneration to restore the health and function of the gums and supporting bone structures.
Importance of Periodontal Health
Maintaining periodontal health is vital for overall oral health. If left untreated, periodontal disease can lead to tooth loss and is linked to systemic conditions such as heart disease and diabetes. According to the Dubai Health Authority, regular dental examinations and good oral hygiene practices are essential for the prevention of periodontal disease. This includes brushing twice a day, flossing and using antiseptic mouthwash.
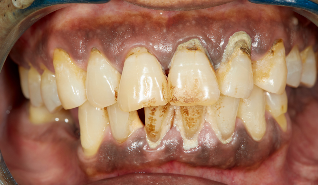
Common Periodontal Treatments
Periodontal treatments vary according to the severity of the disease. For mild cases, non-surgical treatments such as scaling and root planing are usually sufficient. These procedures involve cleaning the teeth and smoothing the roots to remove plaque and tartar. In more advanced cases, surgical interventions may be necessary. Procedures such as pocket reduction surgery and regenerative treatments aim to restore damaged tissues and bone.
Dental Implants
and Periodontics
Dental implants are an important aspect of periodontics. Periodontists are highly skilled in placing dental implants, which serve as a permanent solution for missing teeth. Implants not only improve aesthetics and function, but also help preserve the jawbone, preventing the bone loss that typically occurs after tooth loss. The Abu Dhabi Ministry of Health emphasizes the importance of consulting a periodontist about implant placement to ensure the best results and long-term success.
Preventive Care and Education
Preventive care is one of the cornerstones of periodontology. Periodontists educate patients about maintaining good oral hygiene and provide guidance on lifestyle factors that can affect periodontal health. This includes dietary recommendations and advice on smoking cessation as tobacco use is a major risk factor for periodontal disease. The UAE Ministry of Health and Prevention provides extensive resources on preventive care and the benefits of maintaining periodontal health.




Conclusion:
The Value of Periodontics
Periodontics plays a critical role in dental health by addressing issues related to the gums and supporting structures of the teeth. Regular visits to a periodontist, combined with diligent oral hygiene practices, can prevent and manage periodontal disease effectively.
The Comprehensive
Importance of Periodontal Health
Periodontics not only ensures the health of the gums and supporting structures, but also significantly improves overall quality of life. By preventing and treating periodontal disease, periodontists help reduce the risk of tooth loss and associated complications, such as eating and speech difficulties and self-confidence issues.
Blog
How to Brush Teeth Gently Without Hurting Your Gums
Many people assume gum irritation is normal. Others think bleeding means brushing harder is necessary. These beliefs are common and understandable. Daily routines become automatic over time. Small technique errors[…]
Read moreUnderstanding Inflammation and Periodontal Health
Inflammation plays a major role in periodontal health because the gums react strongly to irritation, bacteria, and lifestyle habits, making early awareness essential for long-term oral protection. Why Does Inflammation[…]
Read moreTreating Peri-Implantitis Around Dental Implants
Peri-0implantitis develops when bacteria damage the tissues around a dental implant, and treating it effectively requires understanding how inflammation begins, how bone reacts to infection, and how timely intervention protects[…]
Read moreTreating Peri-Implantitis Around Dental Implants
Peri-implantitis often develops quietly around dental implants, and understanding how specialists manage this condition helps patients protect their oral health while feeling more informed and confident during treatment decisions. What[…]
Read moreHow Periodontal Disease Affects Your Whole Body
Have you ever noticed a little blood when you brush your teeth? Many people shrug it off and move on with their day. They change toothbrushes, brush a bit softer,[…]
Read morePeriodontal Pockets: A Deep Dive into the Silent Threat
The architecture of a healthy mouth often goes unappreciated until that delicate balance is compromised. Most individuals envision dental health solely in terms of sound teeth, perhaps forgetting the paramount[…]
Read moreWhen You Should See a Periodontist for Gum Health
The trajectory of oral health is rarely a straight line, and while the general dentist serves as the primary caretaker, specific complications demand the focused expertise of a periodontal specialist.[…]
Read moreHow Smoking Damages Gum Tissue and Affects Oral Health
The systemic toxicity introduced into the oral environment by tobacco smoke is profoundly complex, extending far beyond superficial staining or simple halitosis; it initiates a cascade of destructive biological processes[…]
Read moreBest Foods That Support Strong and Healthy Gums
The foundation of a truly radiant and lasting smile is often mistakenly attributed solely to the brilliance of the teeth themselves, yet the quiet, often overlooked scaffolding—the gums—plays a far[…]
Read more