
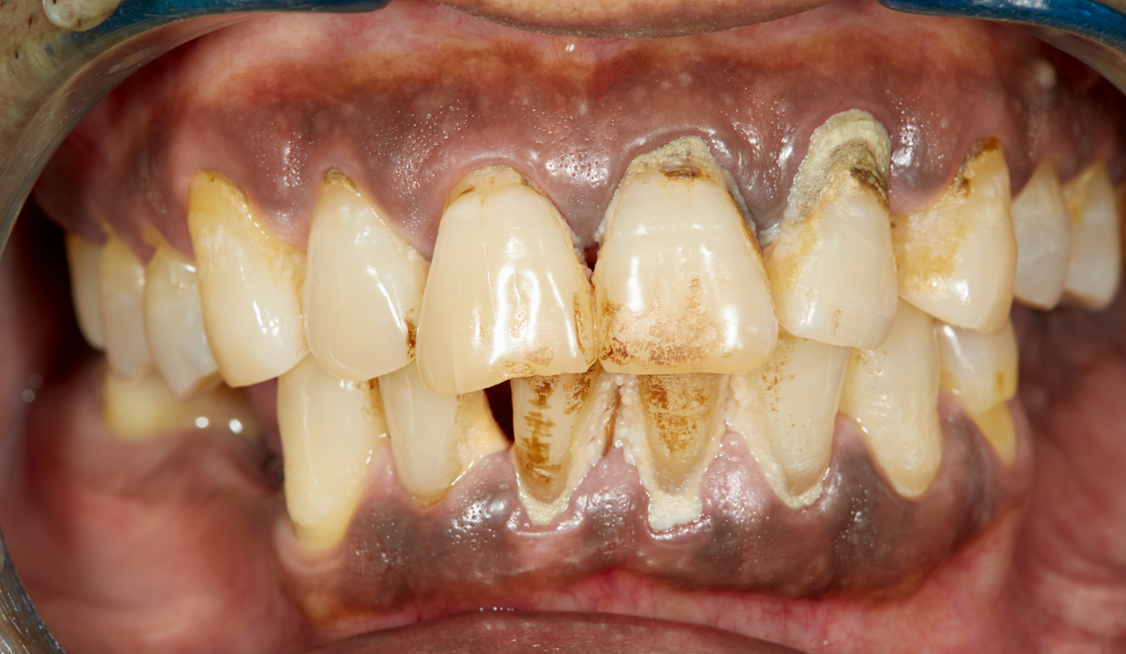
The architecture of a healthy mouth often goes unappreciated until that delicate balance is compromised. Most individuals envision dental health solely in terms of sound teeth, perhaps forgetting the paramount role of the surrounding structures. The gums, or gingiva, are the foundation, the soft-tissue anchors that keep the teeth firmly in place. They fit snugly around the base of each tooth, forming a shallow, V-shaped groove known as the sulcus. In a state of optimal health, this sulcus measures no more than one to three millimeters in depth. This minimal depth allows for effective cleaning with regular brushing and flossing, ensuring that food debris and bacteria are routinely swept away. The integrity of this shallow space is crucial, as it represents the first line of defense against subgingival bacterial invasion. However, when oral hygiene falters, even slightly, a microscopic battle begins, leading to a pathological deepening that has significant implications for overall dental longevity.
The gums, or gingiva, are the foundation, the soft-tissue anchors that keep the teeth firmly in place.
The genesis of a periodontal pocket is intrinsically linked to the accumulation and prolonged presence of dental plaque. Plaque is a sticky, colorless film composed primarily of bacteria, their byproducts, and food particles. If plaque is not diligently removed, it hardens into calculus, or tartar, which is a rough, porous substance that provides an ideal sanctuary for further bacterial growth. This calculus formation typically occurs both above and below the gumline. Once this bacterial colony establishes itself at the gingival margin, the host’s immune system mounts a defense. This inflammatory response, initially characterized by gingivitis—red, swollen, and easily bleeding gums—is the body’s attempt to isolate and eradicate the microbial threat. Unfortunately, the very act of inflammation, if sustained, begins to break down the connective tissue and fibers that hold the gum tight against the tooth root. This detachment is the physical manifestation of the sulcus transitioning into a true periodontal pocket.
Defining the Pathological Space
What precisely is a periodontal pocket? It is, fundamentally, a pathological deepening of the gingival sulcus, a space created by the apical migration of the junctional epithelium—the tissue that forms the base of the sulcus—and the subsequent destruction of the underlying periodontal ligament and alveolar bone. Unlike the shallow, healthy sulcus, a pocket is an environment that actively harbors pathogenic, often anaerobic, bacteria. The depth is measured from the gingival margin to the base of the pocket, and any measurement consistently exceeding four millimeters is generally considered indicative of periodontal disease requiring professional intervention. These pockets are notoriously difficult, if not impossible, for a patient to clean effectively at home, thereby creating a vicious cycle of bacterial proliferation, inflammatory destruction, and pocket deepening.
This detachment is the physical manifestation of the sulcus transitioning into a true periodontal pocket.
The destructive process within the pocket is driven by the specific species of bacteria that thrive in this oxygen-deprived niche, alongside the host’s inflammatory response. The bacteria release potent toxins, enzymes, and virulence factors that directly injure the adjacent cells. Simultaneously, the sustained immune response involves the release of pro-inflammatory mediators, such as cytokines and prostaglandins, which paradoxically contribute to the breakdown of collagen and the resorption of the alveolar bone that supports the tooth. This bone loss is the critical element that transforms a reversible condition (gingivitis) into an irreversible chronic disease (periodontitis). The depth of the pocket is therefore not just a linear measurement; it is a clinical marker for the amount of periodontal attachment loss and the extent of bone degradation.
The Two Main Architectural Types
Periodontal pockets are not uniform; they are classified based on the relationship of the pocket base to the alveolar bone crest. This classification is vital for both prognosis and treatment planning. The two primary types are suprabony (or supracrestal) pockets and infrabony (or intrabony) pockets. Suprabony pockets are those in which the base of the pocket is located coronal (above) to the crest of the alveolar bone. The bone loss associated with these is typically horizontal, meaning the bone is resorbed uniformly across a broad front, maintaining a generally flat plane.
The destructive process within the pocket is driven by the specific species of bacteria that thrive in this oxygen-deprived niche.
In contrast, infrabony pockets are considerably more complex and challenging to manage. In this scenario, the base of the pocket is apical (below) to the adjacent alveolar bone crest. The bone loss is irregular and vertical, often leading to distinct three-walled, two-walled, or one-walled bony defects around the root. These vertical defects are essentially craters carved into the bone. The presence of an infrabony defect significantly complicates treatment because the architecture makes cleaning and regeneration procedures more challenging. The type of pocket dictates the approach: suprabony defects might be managed effectively with scaling and root planing, while infrabony defects often necessitate surgical intervention, such as osseous surgery or guided tissue regeneration, to attempt to rebuild the lost supporting structures.
Symptoms and Clinical Detection Methods
Periodontal pockets rarely announce their presence with acute, unmistakable pain, which contributes significantly to the prevalence of undiagnosed or late-stage periodontitis. Instead, they present with subtle, chronic signs that are often dismissed by the patient. Common indicators include persistent bad breath (halitosis) resulting from the anaerobic bacterial activity within the pocket, a persistent metallic or unpleasant taste, bleeding gums, especially during brushing or flossing, and a noticeable recession of the gumline, making the teeth appear longer. In advanced stages, patients may observe a loosening or splaying of their teeth, changes in the way their teeth fit together (malocclusion), or the presence of pus exuding from the gum margin.
Periodontal pockets rarely announce their presence with acute, unmistakable pain.
The definitive diagnosis and measurement of periodontal pockets are performed by a dental professional using a specialized instrument called a calibrated periodontal probe. This probe is gently inserted into the sulcus or pocket parallel to the long axis of the tooth until a firm resistance is met, which corresponds to the base of the junctional epithelium. The depth is read directly from the markings on the probe. A full-mouth periodontal charting records these measurements for every tooth at six different sites, providing a comprehensive map of the disease progression. In addition to probing depths, clinical attachment loss (CAL), which is the true measure of tissue destruction calculated from a fixed reference point, must also be assessed. Radiographs (X-rays) are also essential to visualize and quantify the extent and pattern of alveolar bone loss, complementing the soft-tissue measurements.
The Link to Systemic Health
The implications of deep periodontal pockets extend far beyond the confines of the mouth. The pocket serves as a massive reservoir for chronic infection and inflammation. Estimates suggest that the total surface area of the epithelial lining of a moderately diseased periodontium can be equivalent to the palm of an adult’s hand, offering a large portal for bacterial toxins and inflammatory mediators to enter the systemic circulation. This constant, low-grade systemic inflammatory load has been scientifically linked to several serious systemic conditions.
The implications of deep periodontal pockets extend far beyond the confines of the mouth.
Cardiovascular disease, including atherosclerosis and myocardial infarction, has shown a compelling association with periodontitis. The hypothesis suggests that oral pathogens or the inflammatory cytokines they provoke can travel through the bloodstream and contribute to the formation of arterial plaques. Similarly, periodontitis has been implicated in the poor glycemic control observed in patients with diabetes mellitus, creating a bidirectional relationship where each condition exacerbates the other. Furthermore, links have been established with adverse pregnancy outcomes (such as preterm birth and low birth weight), respiratory diseases, and certain neurodegenerative conditions. Managing and eliminating periodontal pockets, therefore, is not merely a dental issue; it is a critical component of maintaining overall health and well-being.
The Imperative for Targeted Treatment
The objective of all periodontal therapy is to reduce the probing depth and eliminate the microbial and inflammatory environment within the pocket, thereby facilitating the reattachment of healthy gum tissue to the tooth root and halting the progression of bone loss. Non-surgical treatment, primarily scaling and root planing (SRP), is the cornerstone for managing mild to moderate periodontitis. This meticulous procedure involves removing plaque, calculus, and bacterial toxins from the tooth surface both above and below the gumline and smoothing the root surfaces to deter further bacterial adhesion.
The objective of all periodontal therapy is to reduce the probing depth and eliminate the microbial and inflammatory environment within the pocket.
When pockets remain deep (typically $5$mm or greater) following non-surgical approaches, surgical intervention may become necessary. Flap surgery, also known as pocket reduction surgery, involves temporarily folding back the gum tissue to gain direct access to the deeper defects, allowing for more thorough debridement and reshaping of the bone (osseous surgery) to reduce the pocket depth. In cases of significant bone loss, regenerative procedures might be employed, utilizing bone grafts, membranes, or tissue-stimulating proteins to encourage the growth of new bone and periodontal ligament attachment. The choice of treatment is dictated by the pocket type, depth, and the amount of residual bone support.
Prevention: The Daily Commitment
Preventing the formation of periodontal pockets relies entirely on the consistent and effective control of dental plaque. This means committing to a rigorous daily oral hygiene routine that is tailored to individual needs. Brushing twice a day with a soft-bristled toothbrush and a fluoride toothpaste is essential, but it is insufficient on its own. The interdental areas, where periodontal pockets begin, require dedicated attention. Daily flossing or the use of interdental brushes or water flossers is non-negotiable for removing plaque from between the teeth and beneath the gumline.
Preventing the formation of periodontal pockets relies entirely on the consistent and effective control of dental plaque.
Beyond the home care regimen, professional maintenance is the second, equally vital pillar of prevention. Regular dental check-ups and professional cleanings, typically every six months but often more frequently for individuals at higher risk (periodontal maintenance), allow the dental team to monitor pocket depths, assess bone levels, and remove calculus that has accumulated despite diligent home efforts. Early detection of gingivitis allows for timely intervention, reversing the inflammation before the irreversible step of attachment loss and pocket formation occurs. Patient education on proper technique and risk factors, such as smoking, which is a major contributor to periodontitis, plays a pivotal role in long-term success.
The Role of Periodontal Maintenance
Once a patient has been treated for periodontitis and pocket depths have been successfully reduced, they enter the phase of periodontal maintenance therapy. This is a crucial, lifelong commitment. It is important to understand that periodontitis is a chronic disease; while it can be controlled, the risk of recurrence remains high, particularly if compliance with the maintenance schedule lapses. These appointments are fundamentally different from a standard cleaning. They are highly individualized, often involving more frequent visits (e.g., every $3$ to $4$ months) and a deeper, more focused debridement (scaling) to manage the residual pockets and prevent the repopulation of harmful bacteria.
This is a crucial, lifelong commitment.
During these maintenance visits, the periodontium is thoroughly reassessed. Probing depths are charted, signs of inflammation are noted, and the stability of the attachment is confirmed. The goal is to maintain the results achieved by active therapy and prevent further attachment loss. This phase is critical because the presence of deep pockets, even post-treatment, indicates an area of high susceptibility to recurrent disease. A collaborative approach between the patient’s home care, the general dentist, and often a periodontist is the key to maintaining a stable and healthy periodontium over the long term, thereby safeguarding the foundational support for the dentition.
Understanding Disease Progression
The journey from a healthy sulcus to a deep, destructive periodontal pocket is not a sudden leap but a slow, insidious progression. It often begins with localized gingivitis, which, if ignored, transitions into early periodontitis, characterized by minimal bone loss and shallow pockets. As the inflammatory process continues unchecked, moderate periodontitis develops, involving more significant bone loss, deeper pockets (often $5$–$7$mm), and perhaps tooth mobility. The final stage, advanced periodontitis, is marked by severe bone loss, very deep pockets (often $>7$mm), and high mobility, frequently leading to the loss of the affected teeth.
The journey from a healthy sulcus to a deep, destructive periodontal pocket is not a sudden leap but a slow, insidious progression.
The rate of progression can vary drastically among individuals, influenced by genetic susceptibility, systemic health factors (like uncontrolled diabetes), and behavioral risks (primarily tobacco use). It is a misconception that periodontitis affects everyone equally. For some, the disease is an aggressive, rapidly destructive process; for others, it may progress slowly over decades. Understanding this variability underscores the need for personalized risk assessment and tailored intervention strategies. Early detection through regular professional exams remains the most effective tool to interrupt this progression before it causes irreversible damage to the underlying tooth-supporting structures.
The Irreversibility of Attachment Loss
One of the most sobering facts about periodontal pockets is the largely irreversible nature of the attachment loss and bone destruction they represent. While non-surgical and surgical treatments can effectively reduce the pocket depth, stabilize the disease, and prevent further loss, they generally cannot spontaneously regenerate the lost alveolar bone or the periodontal ligament in a predictable, functional manner, especially in horizontal bone loss scenarios. The term “pocket reduction” often refers to a reduction in the distance between the gingival margin and the pocket base, primarily achieved through gum tissue shrinkage or surgical recontouring, rather than a full regrowth of the supporting apparatus.
One of the most sobering facts about periodontal pockets is the largely irreversible nature of the attachment loss.
While advanced regenerative techniques offer hope for rebuilding some lost vertical bone (infrabony defects), this process is technically demanding and not universally predictable. The core damage—the physical separation of the gum from the tooth root—leaves a tooth with less overall support, making it more vulnerable in the future. This emphasizes why primary prevention is the ultimate goal. The fact that the structural damage is largely permanent should serve as a powerful motivator for individuals to prioritize meticulous daily care and regular professional oversight, ensuring that the critical barrier between the oral cavity and the tooth’s root is never breached in the first place.
Impact on Tooth Prognosis
The ultimate concern regarding periodontal pockets is their impact on the long-term prognosis, or survival, of the affected teeth. A deep pocket implies significant attachment loss, and the loss of supporting bone directly correlates with an increased risk of tooth mobility and eventual exfoliation (loss). The tooth’s ability to withstand normal biting and chewing forces (occlusal load) is severely compromised when the foundation is eroded. Furthermore, persistent deep pockets are prone to recurrent infections, which can lead to periodontal abscesses—acute, painful pus-filled swellings that rapidly accelerate bone destruction.
The ultimate concern regarding periodontal pockets is their impact on the long-term prognosis, or survival, of the affected teeth.
The decision to retain or extract a periodontally involved tooth often boils down to its strategic importance in the dental arch, its mobility grade, and the feasibility of pocket elimination and long-term stability. Teeth with advanced, generalized bone loss and severe mobility, despite aggressive treatment, may have a poor long-term prognosis and might need to be removed to protect the adjacent teeth and overall oral health. In essence, the depth and persistence of the periodontal pocket are the clinical yardsticks by which the viability of a tooth is judged, making the management of these spaces the central challenge in modern restorative and periodontal dentistry.